Protrusion
Zahntechnische Werkstatt
Zahnruine
Die Kreativen
Ort des Geschehens
Was wir wollen
Wie wir das umsetzen
Non-Präp-Veneers
Veneers
Vollkeramik
Implantate
Parafunktion und Planung
Wie wir erreichbar sind
Wo wir zu finden sind
Mit wem wir arbeiten
Impressum
Datenschutzerklärung
Andrea Hauler
Steffen Deppert-Labsch
Ihr Album (Zum Ändern klicken)
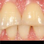
Non-Präp-Veneers
vorher
geschichtete Veneers auf Platinfolie
Non-Präp-Veneers
nachher